甲状腺良性结节超声误诊声像图特征

Ultrasonographic Features of Misdiagnosed Benign Thyroid Nodules

  • 摘要:
      目的  分析超声检查中误诊为恶性的甲状腺良性结节的声像图特征。
      方法  2011年1月至2014年12月北京协和医院健康医学部对31 822名健康体检者进行甲状腺超声检查, 依据判定标准, 对声像图表现高度怀疑恶性结节者行穿刺活检或手术切除。
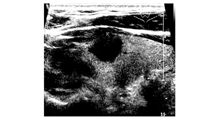
      结果  在超声检查可疑恶性的162个甲状腺结节中, 经术后病理证实33个(20.37%)为良性, 其中以结节性甲状腺肿伴钙化或(和)纤维化最多见(12个, 36.36%)。误诊结节中最常见的超声征象为微小钙化(20个), 其他包括结节边界不规则(9个)、纵横比≥ 1(6个)、血流异常(6个)等。
      结论  超声作为甲状腺结节的首选检查方法, 准确识别其声像图特征有助于提高诊断准确性, 减少不必要的外科手术。

     

    Abstract:
      Objective  To study the ultrasonographic features of benign thyroid nodules that were misdiagnosed as malignant nodules.
      Methods  The thyroid ultrasonic examination results of 31 822 healthy people who visited the Department of Health Management, Peking Union Medical College Hospital from January 2011 to December 2014 were analyzed. Fine needle aspiration or surgical resection were performed in those highly suspected as malignant nodules according to some specific ultrasonographic features.
      Results  A total of 162 nodules were suspected malignant in ultrasonography, among which 33 (20.37%) were benign based on pathologic results, primarily nodular goiter with calcinosis/fibrosis(12, 36.36%). Microcalcification(20), irregular boundary of the nodules(9), a taller-than-wide shape(6), and abundant and abnormal blood flow(6) were the most common ultrasonographic signs in turn in those misdiagnosed nodules.
      Conclusions  Ultrasonography is the diagnostic technique of choice for thyroid nodules. Accurate interpretation of the ultrasonographic features of thyroid nodules can improve the accuracy of diagnosis and facilitate the decision in surgery.

     

/

返回文章
返回