复杂肾血管平滑肌脂肪瘤的外科治疗

Surgical Treatment for Complex Renal Angiomyolipoma

  • 摘要:
      目的  探讨复杂肾血管平滑肌脂肪瘤(angiomyolipoma, AML)外科治疗的选择策略。
      方法  回顾性分析2015年1月至2018年3月北京协和医院收治的14例经手术切除、病理确诊的复杂肾AML患者临床资料, 包括临床及影像学特征、手术方法及围手术期处理策略, 对比术前术后影像学检查及肾功能变化, 分析不同手术方式对肾功能的影响。
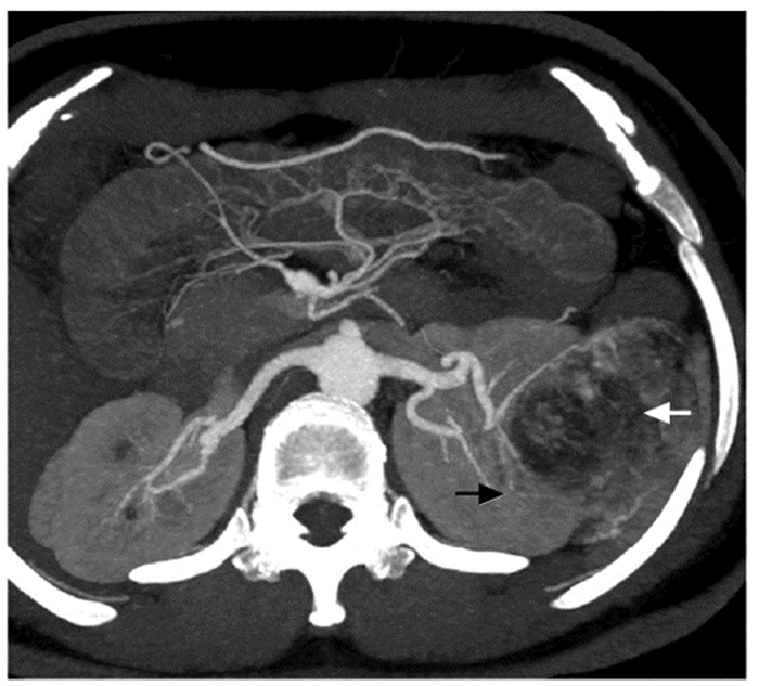
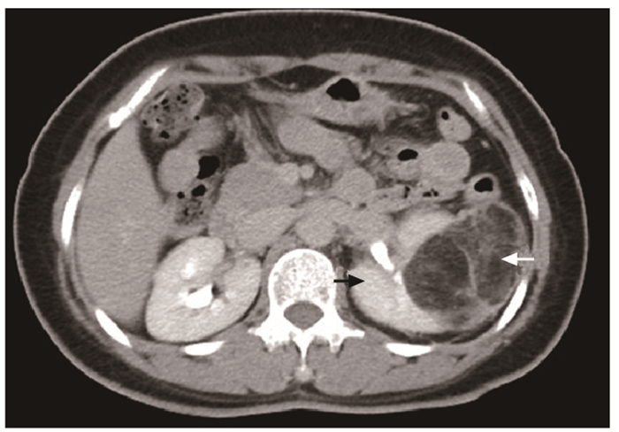
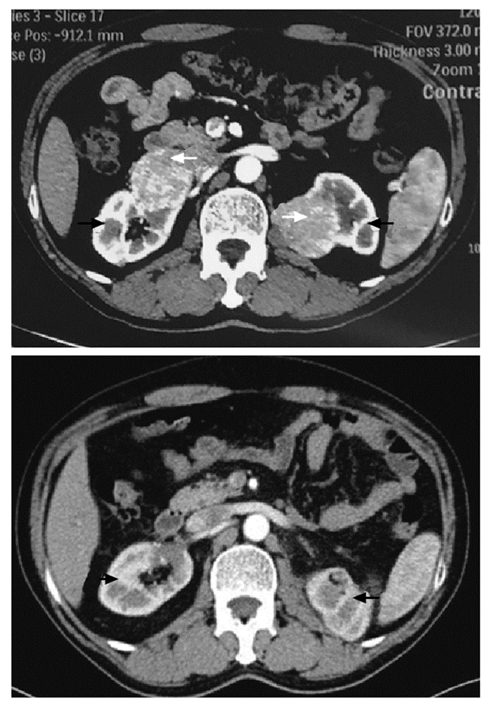
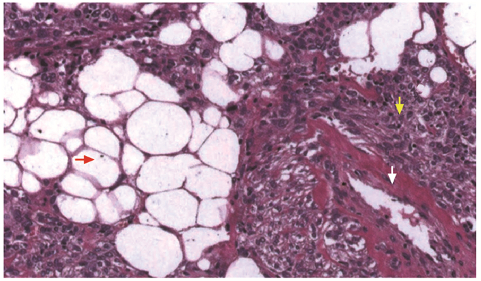
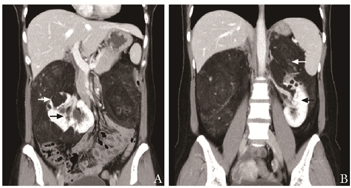
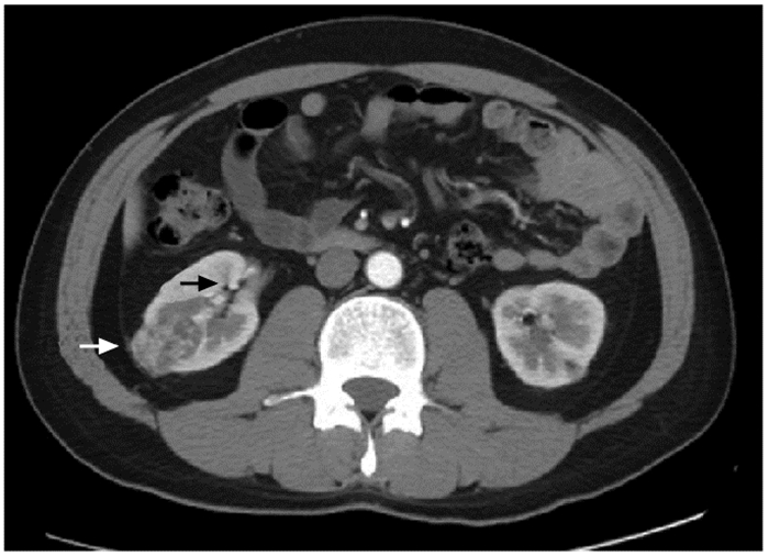
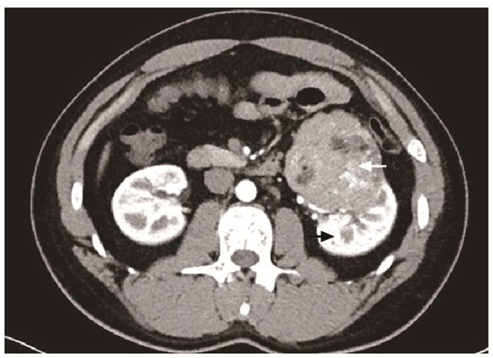
      结果   14例AML患者中有1例相对孤立肾合并AML、7例多发AML、8例巨大AML(肿瘤最大直径>7 cm)、6例紧邻肾集合系统或肾门的AML以及2例合并出血破裂史AML, 病情复杂, 手术难度大。采取经腹腔镜或开放肾部分切除或肿瘤剜除术后, 顺利切除肿瘤, 病理检查提示肾AML, 术后定期门诊随访, 行CT扫描均无复发。全部患者术后肾功能保持良好, 术前和术后1个月血肌酐水平分别为(84.1±26.8)μg/ml和(97.5±37.0)μg/ml, 两组数据差异无统计学意义(t=-3.193, P>0.05)。
      结论  复杂肾AML手术难度大, 肾部分切除术或肿瘤剜除术效果确切, 可最大限度保留肾单位且安全有效。

     

    Abstract:
      Objective  This study aimed to investigate the strategy for surgical treatment of complex renal angiomyolipoma (AML).
      Methods  The clinical data from 14 patients with complex renal AML confirmed by surgery and pathological examination in Peking Union Medical College Hospital from January 2015 to March 2018 were retrospectively collected and analyzed, including clinical and imaging features, surgical methods, and perioperative management strategy. The changes in CT imaging and renal function before and after the operation were compared and the effect of surgical methods on the renal function was analyzed.
      Results  Among 14 patients with renal AML, 1 had a relative solitary kidney with AML, 7 had multiple AML, 8 had huge AML (the maximum diameter of the tumor >7 cm), 6 had AML adjacent to the renal collection system or the renal portal, and 2 had AML combined with bleeding and rupture history; all cases were complicated and difficult to treat. All operations were successfully performed by laparoscopic or open partial nephrectomy or enucleation of the tumor, and pathological examination indicated renal AML. All patients were regularly followed up and no recurrence was found by CT scanning. The renal function of all patients was well preserved; the concentration of serum creatinine before and 1 month after the operation were (84.1±26.8)μg/ml and (97.5±37.0)μg/ml respectively, without statistically insignificant difference (t=-3.193, P>0.05).
      Conclusions  Complex renal AML is difficult to operate. The effect of partial nephrectomy or enucleation of the tumor is definite; these strategies might maximally, safely, and effectively reserve nephrons.

     

/

返回文章
返回