多排螺旋计算机断层摄影肾上腺静脉成像

Adrenal Venography Using Multi-slice Spiral Computed Tomography

  • 摘要:
      目的  探讨多排螺旋计算机断层摄影(multi-slice spiral computed tomography, MSCT)静脉成像显示双侧肾上腺静脉的图像质量, 并对肾上腺静脉解剖及变异进行形态学观察。
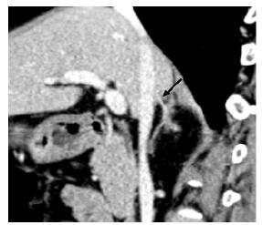
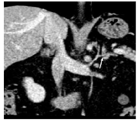
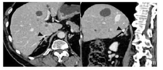
      方法  回顾性分析100例双侧肾上腺形态大致正常的患者腹部增强CT图像, 用最大密度投影(maximum intensity projection, MIP)或多平面重建(multi-planar reconstruction, MPR)显示双侧肾上腺静脉, 评价图像质量, 并分别描述肾上腺静脉解剖位置、变异及与左肾静脉和下腔静脉的关系。
      结果  以MIP或MPR技术评价图像质量, 左肾上腺静脉97例(97%)为1级, 1例(1%)为2级, 2例(2%)为3级; 右肾上腺静脉52例(52%)为1级, 19例(19%)为2级, 29(29%)例为3级。左肾上腺静脉均为1支; 91%与膈下静脉汇合后汇入左肾静脉; 左肾上腺静脉平均直径(3.6±0.6)mm(2.4~4.5 mm); 左肾上腺静脉与左肾静脉形成交角, 平均为(121.9±16.0)°(150~58°)。2例发现右侧双支肾上腺静脉; 67例(94%)右肾上腺静脉汇入下腔静脉, 4例(6%)汇入右副肝静脉; 右肾上腺静脉平均直径(3.2±0.5)mm(1.9~4.0 mm); 右肾上腺静脉与下腔静脉形成交角, 平均为(75.3±16.6)°(90~35°)。
      结论  多排螺旋CT双侧肾上腺静脉成像结合MIP和MPR技术可清晰显示大部分肾上腺静脉, 尤其是左肾上腺静脉。

     

    Abstract:
      Objective  To assess the image quality of multi-slice spiral computed tomography (MSCT) for adrenal venography and describe the anatomic and morphologic features of adrenal veins.
      Methods  The abdominal MSCT images of 100 patients (M:F=54:46, 55.7±15.7 yrs old) with normal adrenal morphologies were retrospectively reviewed. The bilateral adrenal veins were displayed using maximum intensity projection (MIP) or multi-plannar reformation (MPR) software and the image quality was assessed using a 3-point grading scale (excellent, sufficient and non-diagnostic). The anatomical location, anomalies and spatial interrelationships of the renal veins and inferior vena cava (IVC) were also described.
      Results  In the evaluation of image quality with MIP or MPR images, the left adrenal vein was excellent in 97% patients, sufficient in 1%, and non-diagnostic in 2%. For the right adrenal vein, 52% were excellent, 19% were sufficient, and 29% were non-diagnostic. The left adrenal vein was always a single one, 91% of which joined the inferior phrenic vein and then drained into the left renal vein. The diameter of the left adrenal vein ranged 2.4 mm to 4.5 mm (mean:3.6±0.6 mm). The angle of the left adrenal vein and left renal vein ranged 150° to 58° (mean:121.9±16.0°). Two patients were found to have double right adrenal veins. The right adrenal vein drained into the IVC in 67 of 71 patients (94%) and into the right accessory hepatic vein in 4 patients (6%). The average diameter of the right adrenal vein ranged 1.9 mm to 4.0 mm (mean:3.2±0.5 mm). The angle of the right adrenal vein and IVC ranged 90° to 35° (mean:75.3±16.6°).
      Conclusion  MSCT venography, together with the application of MIP and MPR permits satisfying visualization of the bilateral adrenal veins, especially the left one, in most cases.

     

/

返回文章
返回