人工全髋关节置换术治疗强直性脊柱炎

Total Hip Arthroplasty for Ankylosing Spondylitis Involving Hip Joint

  • 摘要:
      目的   评价人工全髋关节置换术(total hip arthroplasty, THA)治疗强直性脊柱炎(ankylosing spondylitis, AS)髋关节病变的临床疗效。
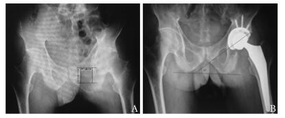
      方法   回顾性分析2015年7月至2016年8月上海长海医院23例(30髋)AS导致髋关节病变而行THA手术治疗的患者资料, 患者均为男性, 术前年龄平均(42.2±12.9)岁(23~65岁); 病程平均(20.2±8.4)年(5~46年); 体质量指数(body mass index, BMI)平均(21.6±3.7)kg/m2(16.4~30.1 kg/m2)。手术方式采用髋关节后外侧入路, 所有患者均应用生物型假体。采用BASFI评分对AS患者全身功能状况进行评价, Harris评分对临床效果进行评价, 比较患者术前、术后关节活动度及BASFI评分、Harris评分。
      结果  患者平均随访(15.1±3.2)个月(10~21个月), 与术前相比, 末次随访时髋关节功能明显改善, 髋关节屈伸活动度由(44.3±39.6)°升高至(93.2±19.7)°; 髋关节总活动度由(64.8±54.8)°升高至(179.5±25.1)°; 髋关节Harris评分由(39.2±17.2)分升高至(87.5±4.5)分, 其中10髋优, 19髋良, 优良率96.7%(29/30);BASFI评分由(6.4±2.3)分降低至(2.2±0.9)分, 差异均有统计学意义(P均 < 0.001)。X片评估术后髋关节均未出现脱位、松动、下沉; 术后异位骨化Brooker分级:BrookerⅠ级2髋, 未见BrookerⅡ、Ⅲ、Ⅳ级异位骨化。
      结论  THA可有效治疗AS髋关节病变, 缓解关节疼痛, 重建关节功能, 明显提高AS患者生活质量。

     

    Abstract:
      Objective  The aim was to evaluate the clinical efficacy of total hip arthroplasty(THA) in the treatment of ankylosing spondylitis(AS) involving hip joint.
      Methods  A retrospective analysis of 23 patients(30 hips) with AS undergoing THA during the period from July 2015 to August 2016 was performed in the department of Joint Suegery, Changhai Hospital, Shanghai. All patients were male, with a mean age of (42.2±12.9)years(ranging from 23 to 65 years). The mean disease duration was (20.2±8.4)years(ranging from 5 to 46 years), and the mean body mass index was (21.6±3.7)kg/m2(ranging from 16.4 to 30.1 kg/m2). For all patients, a posterolateral approach was used to implant the biological prosthesis. The BASFI questionnaire was used to assess the AS functional status. Harris hip scoring system was applied to evaluate the clinical results. The range of motion(ROM) of the hip, BASFI score, and Harris score were compared pre- and post-operatively.
      Results   All patients were followed up for an average of (15.1±3.2)months(ranging from 10 to 21 months); and the hip function was improved markedly after surgery. At the final follow up, the flexion-extension ROM of the hip improved from (44.3±39.6)° to (93.2±19.7)°; the total ROM improved from (64.8±54.8)° to (179.5±25.1)°; the mean value of Harris hip score improved from 39.2±17.2 to 87.5±4.5, with 10 cases rated as excellent and 19 cases as good(the rate of excellent or good result was 96.7%); the mean value of BASFI score decreased from 6.4±2.3 to 2.2±0.9. These differences were all statistically significant(P < 0.001). At the final follow up, all of the locations of the prosthesis were evaluated with X-ray, which showed no signs of aseptic loosening and dislocation of the hip prosthesis. According to Brooker grading system, only 2 hips were classified as GradeⅠ, and no hips were classified as GradeⅡ, Ⅲ, or Ⅳ.
      Conclusion  THA is an effective method in treating AS involving the hip joint to relieve unbearable pains and reconstruct the hip function, which can greatly improve the life quality of AS patients.

     

/

返回文章
返回