一例肾细胞癌脑转移患者的5次MDT:“量体裁衣”的个体化诊疗模式

Five Times of MDT for a Patient with Brain Metastases of Renal Cell Carcinoma: A "Tailor-made" Pattern of Individualized Management

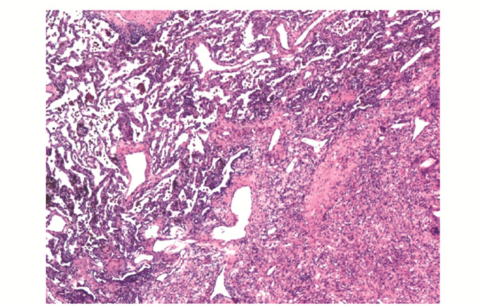
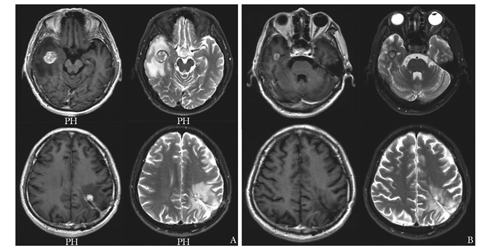
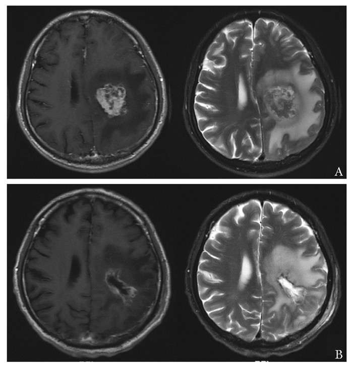
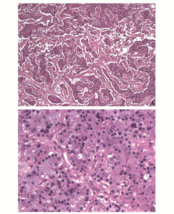
  • 摘要: 肾细胞癌是泌尿系统中恶性度较高的肿瘤,常出现远端转移,尤其伴随中枢神经系统转移后,患者预后更差,临床管理困难,需多学科协作诊疗。本文报道一例肾透明细胞癌多系统转移患者,经北京协和医院肿瘤多学科协作团队(multidisciplinary team,MDT)5次会诊,得到个体化诊疗,并取得良好效果。通过对MDT讨论决策进行详细分析,可展现MDT在疑难重症病例诊疗方面的优势,有助于缩短治疗时间窗、打破科室界限、提高患者依从性、更好地制定符合循证医学理念的诊疗建议,为患者提供更加精准、个体化的临床管理方案。

     

    Abstract: Renal cell carcinoma(RCC) is a type of tumor with a high degree of malignancy in the urological system, often with distal metastases, especially to the central nervous system. These patients are often endowed with poorer prognosis and more complex management that require a multidisciplinary team(MDT). This article reported a case of clear cell renal cell carcinoma with multisystem metastases.The MDT of Peking Union Medical College Hospital(PUMCH) discussed and formulated the optimal individualized treatment scheme for the patient, and achieved good results after 5 consultations. Through a detailed analysis of discussions and decisions of MDT, the advantages in the treatment of such difficult and serious cases are demonstrated, including shortening the time window of treatment, breaking down departmental boundaries, improving patients' compliance, developing treatment recommendations in line with the concept of evidence-based medicine, and providing more accurate and individualized clinical managements for patients.

     

/

返回文章
返回