获得性皮肤松弛症合并肺气肿1例并文献复习

  • 摘要:
      目的  研究皮肤松弛症合并肺气肿的临床表现、病理特点及治疗。
      方法  报告1例获得性皮肤松弛症合并肺气肿患者的诊治及文献复习。
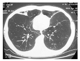
      结果  1例26岁男性患者2年余前腹部、双胁、双腹股沟区多处出现皮炎, 皮疹处皮肤逐渐松弛; 1年余前开始出现活动后气短症状, 进行性加重。肺功能检查提示极严重阻塞性通气功能障碍, 胸部高分辨CT检查提示双侧全小叶型肺气肿。皮肤活检证实为皮肤松弛症, 胸腔镜下肺活检见肺气肿及多个肺大泡形成。肺组织电镜提示肺泡间隔增宽, 间隔内未见成结构的弹性纤维, 可见大量胶原纤维增生。予以持续小流量吸氧, 并予沙美特罗替卡松、噻托溴铵吸入治疗, 病情维持稳定, 复查肺功能略有好转。
      结论  获得性皮肤松弛症合并肺气肿极其罕见, 弹性纤维破坏是其共同特征, 但其病原学至今仍不清楚。此类患者预后不佳, 家庭氧疗、支气管扩张剂和吸入激素治疗可能有利于改善其肺功能。

     

/

返回文章
返回