Fechtner综合征异常家系的临床与分子缺陷

Fechtner Syndrome in a Chinese Family: A Case Report and Literature Review

  • 摘要:
      目的  分析一先天性血小板减少症家系的临床、实验室特点, 并探讨其分子发病机制。
      方法  收集该家系成员的临床资料, 采集先证者及其家系成员的静脉血, 分别进行全自动及人工血小板计数; 显微镜下观察血小板形态; 流式细胞术分析血小板膜蛋白; 透射电镜观察中性粒细胞胞浆包涵体。聚合酶链反应扩增非肌性肌球蛋白重链9基因(non-muscle myosin heavy chain9gene, MYH9)的40个外显子, 分析PCR产物的核苷酸序列, 并直接测序确定突变位点。
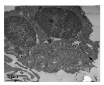
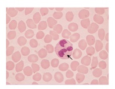
      结果  镜下观察外周血涂片巨大血小板占90%以上, 血小板膜糖蛋白(CD41、CD61、CD42a、CD42b)均在正常范围内, 血小板功能正常; 中性粒细胞胞浆透射电镜可见无包膜分隔的包涵体, MYH9基因38号外显子第5521位核苷酸存在G→A杂合突变(GAG→AAG), 从而导致其编码的非肌性肌球蛋白重链A(NMMHC2A)第1841位谷氨酸变为赖氨酸, 正常对照及该家系正常者未见此突变。
      结论  MYH9基因点突变并伴有血小板减少及巨大血小板是Fechtner综合征的主要特征。

     

    Abstract:
      Objective  To analyze the clinical and laboratory abnormalities and genetic defect of inherited thrombocytopenia in a Chinese family.
      Methods  We collected the clinical data and blood samples of a proband and his family members, examined the characteristic morphological features of platelets and leukocytes on blood smears with Wright's-Giemsa staining, observed the ultrastructure of platelet and leukocyte under electron microscope, and detected expression of platelet membrane protein by flow cytometry. Genomic DNA was isolated from the peripheral blood of the proband and 3 members of his family. All the exons and exon-intron boundaries of the MYH9 gene were amplified by polymerase chain reaction (PCR), followed by direct sequencing.
      Results  In the peripheral blood smears, 90% of platelet were large platelets, the expressions of platelet membrane glycoproteins (CD41, CD61, CD42a, CD42b) and platelet function were within the normal range. Electron microscope showed no capsule separating the inclusion bodies in neutrophil cytoplasmic. A heterozygous G to A mutation was found in the proband and two members of his family at nucleotide 5521 in exon 38 of MYH9 gene, leading to the encoding of non-myosin heavy chain A (NMMHC2A) No. 1841 of glutamate into lysine.
      Conclusion  MYH9 gene mutation and thrombocytopenia and giant platelets are the main features of Fechtner syndrome.

     

/

返回文章
返回