邮件订阅
RSS
首页
关于本刊
期刊介绍
编委会
主编风采
投稿指南
投稿须知
著作权许可使用协议
研究报告规范清单
出版声明
出版伦理声明
医学伦理声明
开放获取声明
同行评审声明
招商合作
新媒体
微信矩阵
虚拟专辑
@学术圈
@科普圈
@医刊圈
联系我们
English
所有
标题
作者
关键词
摘要
DOI
栏目
地址
基金
中图分类号
首页
关于本刊
期刊介绍
编委会
主编风采
投稿指南
投稿须知
著作权许可使用协议
研究报告规范清单
出版声明
出版伦理声明
医学伦理声明
开放获取声明
同行评审声明
招商合作
新媒体
微信矩阵
虚拟专辑
@学术圈
@科普圈
@医刊圈
联系我们
English
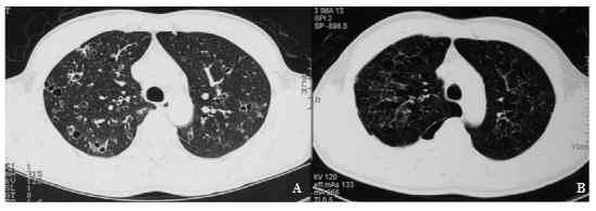
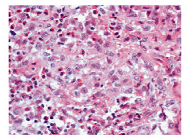
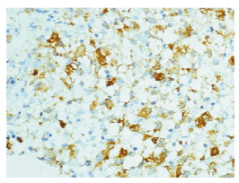
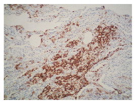
肺郎格罕细胞组织细胞增多症1例
黄蓉
,
管梅
,
肖毅
,
刘鸿瑞
摘要
HTML全文
图
(5)
表
(0)
参考文献
(6)
相关文章
施引文献
资源附件
(0)
摘要
HTML全文
参考文献
(6)
相关文章
施引文献
资源附件
(0)
/
下载:
全尺寸图片
幻灯片
返回文章
分享
用微信扫码二维码
分享至好友和朋友圈
返回
×
Close
导出文件
文件类别
RIS(可直接使用Endnote编辑器进行编辑)
Bib(可直接使用Latex编辑器进行编辑)
Txt
引用内容
引文——仅导出文章的Citation信息
引文和摘要——导出文章的Citation信息和文章摘要信息
×
Close
引用参考文献格式