胰腺炎并发假性动脉瘤大出血的影像诊断及其经导管动脉栓塞治疗

Imaging Diagnosis and Transcatheter Arterial Embolization for Massive Hemorrhage Due to Pseudoaneurysms Complicating Pancreatitis

  • 摘要:
      目的  探讨胰腺炎并发假性动脉瘤大出血的影像诊断方法, 评价经导管动脉栓塞治疗的安全性与有效性。
      方法  回顾性分析6例胰腺炎并发假性动脉瘤破裂大出血患者的临床表现、影像诊断、经动脉栓塞治疗情况、并发症和临床疗效。
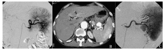
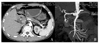
      结果  6例假性动脉瘤中3例位于脾动脉, 另3例分别位于胃十二指肠动脉、胃网膜右动脉和胰十二指肠下动脉。增强CT发现4例, 全部通过数字减影血管造影(digital subtraction angiography, DSA)明确诊断并采取经导管动脉栓塞治疗, 技术成功率和临床成功率达100%, 无严重并发症发生。
      结论  增强CT和DSA是胰腺炎并发假性动脉瘤的主要诊断手段, 经导管动脉栓塞安全有效, 应作为首选治疗。

     

    Abstract:
      Objective  To discuss the imaging diagnosis of massive hemorrhage due to pseudoaneurysms complicating pancreatitis and evaluate the safety and effectiveness of transcatheter arterial embolization (TAE) in treating this disease.
      Methods  For 6 patients with massive hemorrhage due to pseudoaneurysms complicating pancreatitis, the clinical manifestations, imaging findings, TAE procedures, complications, and follow-up were retrospectively analyzed.
      Results  The locations of these 6 pseudoaneurysms included splenic artery (n=3), gastroduodenal artery (n=1), right gastroepiploic artery (n=1), and inferior pancreatioduodenal artery (n=1). Four pseudoaneurysms were detected by contrast-enhanced computed tomography (CT) and all were showed in digital subtraction angiography (DSA). TAE was performed as the first-choice management and the hemorrhage was controlled in all cases. Both the technical and clinical success rates reached 100% and no major complications occurred.
      Conclusions  For pseudoaneurysms complicating pancreatitis, contrast-enhanced CT and DSA are ideal imaging methods. TAE is safe and effective and should be the treatment of choice for this disease.

     

/

返回文章
返回