从一例下丘脑垂体占位谈罕见病临床思维的培养

Training of Clinical Thinking about Rare Diseases from a Case of Hypothalamic and Pituitary Mass

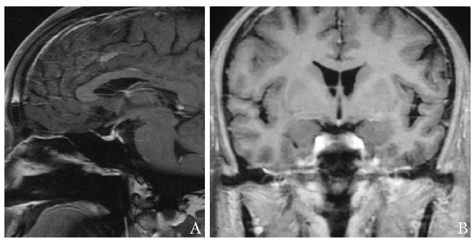
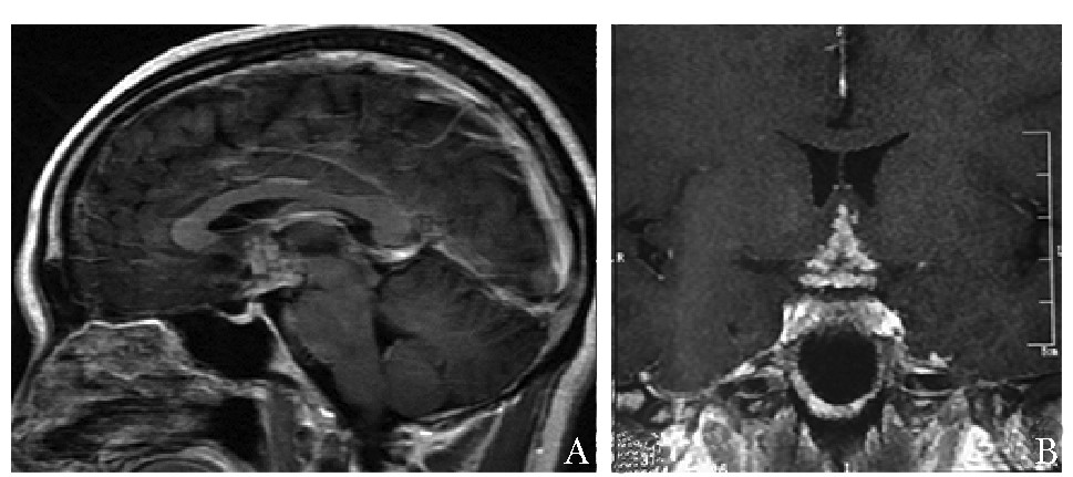
  • 摘要: 建立正确的临床思维是提升临床能力的核心和根本,是医学教育的重点及难点。与常见病不同,垂体疾病作为一种罕见病,其临床思维具有其独特性。本文以一例下丘脑垂体多发占位为例,从资料搜集、逻辑推理、循证教学、多科讨论、基础医学研究等方面总结罕见病诊断思维特点,以期提高临床医师的工作效率,并为垂体疾病的临床思维训练提供相关经验。

     

    Abstract: Establishing correct clinical thinking is the core and foundation of improving doctors' clinical ability as well as the key and difficult point of medical education. Different from common diseases, clinical thinking about pituitary diseases has its unique characteristics as a rare disease. Taking a case of Hypothalamic and pituitary mass as an example, this paper summarized the characteristics of diagnosis thinking of rare diseases from the aspects of data collection, logical reasoning, evidence-based teaching, multiple disciplinary teams, and basic medical research, to improve the efficiency of physicians and provide experience for the training of clinical thinking about pituitary diseases.

     

/

返回文章
返回