磁共振引导聚焦超声:现状与前景

Magnetic Resonance-guided Focused Ultrasound: Present and Prospect

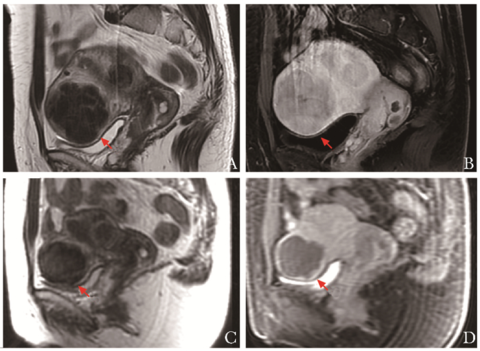
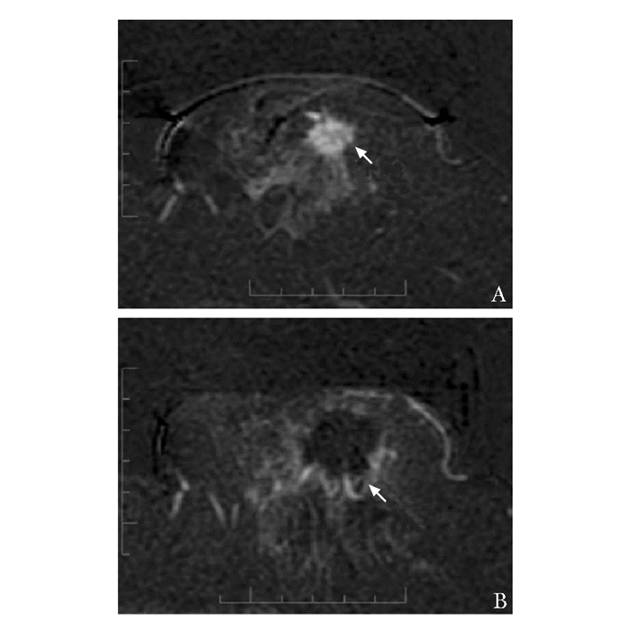
  • 摘要: 磁共振引导聚焦超声是近年出现的肿瘤热消融技术, 利用超声束可穿过软组织并聚焦于靶区的特点, 使靶区产生高温, 致使组织凝固坏死, 并通过磁共振实时监控治疗范围及靶区内温度变化, 从而保证治疗效果及安全性。这种技术的优势在于完全无创、无须住院治疗、无须麻醉(仅需少量镇静剂)、无离子辐射, 目前已广泛应用于子宫肌瘤/腺肌症、骨肿瘤、前列腺癌、功能性神经疾病、乳腺癌等的临床治疗, 成为国内外研究的热点。

     

    Abstract: Magnetic resonance-guided focused ultrasound(MRgFUS) is a new technique of tumor thermal ablation that has appeared in recent years. It is a kind of treatment that can use the ultrasonic beam to focus on the target after passing through soft tissue so that the target area produces a high temperature instantaneously and makes coagulating necrosis in the tissue. The range and temperature change of the treatment area are monitored by MR synchronously. This technology is completely non-invasive and non-ionizing with no anesthesia, no hospitalization, but only a small amount of sedatives required. At present, this treatment method is widely used in uterine fibroids/adenomyosis, bone tumors, prostate cancer, functional neural diseases, breast cancer, and so on. MRgFUS has become a hot topic of research and clinical application.

     

/

返回文章
返回