结缔组织病累及呼吸系统的影像特点

Imaging Manifestations of Respiratory Diseases Associated with Connective Tissue Diseases

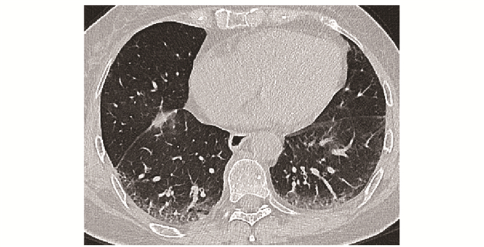
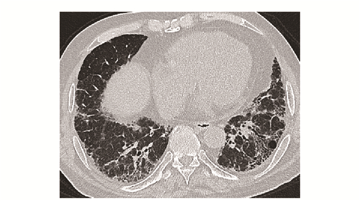
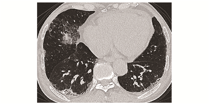
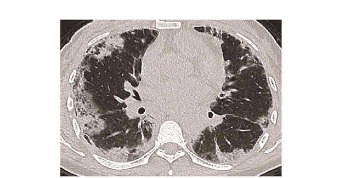
  • 摘要: 结缔组织病累及呼吸系统可表现为间质性肺疾病、弥漫性肺泡损伤、肺泡出血、肺血管病变、胸膜病变及气道病变等。其临床表现缺乏特异性, 肺功能和胸部CT是最常用的检查手段。不同结缔组织病累及呼吸系统的影像特征具有相似性, 但又各具特点。本文就结缔组织病呼吸系统受累相关影像表现进行概述, 以提升读者的认知并指导临床实践。

     

    Abstract: Respiratory manifestations of connective tissue diseases include interstitial lung diseases, diffuse alveolar injury, alveolar hemorrhage, pulmonary vascular lesions, pleural lesions and airway disease. Their clinical symptoms were not specific. Pulmonary function test and chest computed tomography come to be the most frequently applied examinations. Different connective tissue diseases involving respiratory system have not only common features but also characteristic imaging patterns. In this paper, imaging manifestations of respiratory diseases associated with connective tissue diseases were reviewed, so as to improve readers' recognition of the diseases and guide clinical practice.

     

/

返回文章
返回