恶性胰岛素瘤多发肝转移一例

Multiple Liver Metastases in Malignant Insulinoma: A Case Report

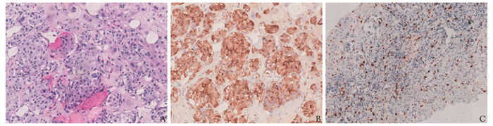
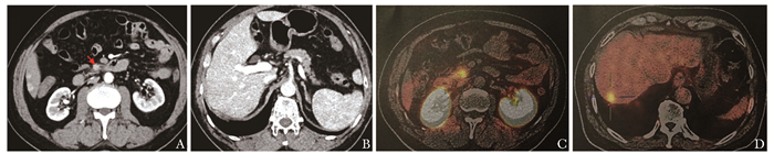
  • 摘要: 恶性胰岛素瘤是疑难罕见的神经内分泌肿瘤之一,常合并远处转移,其中以肝转移最常见,预后多不佳。本文报道1例恶性胰岛素瘤多发肝转移病例。患者男性,70岁,因“发作性意识障碍4个月余”入院,监测血糖发现其空腹、餐后及夜间均反复出现低血糖。胰腺灌注CT及肝脏动态增强MRI发现胰头钩突部占位、肝内多发转移灶,经皮肝穿刺活检病理证实为胰岛素瘤。经多学科讨论后,分期行肝内动脉介入栓塞及射频消融治疗,同时联合依维莫司治疗。复查增强CT可见部分肝转移灶缩小。患者规律加餐,血糖逐渐上升并维持在正常水平。本文讨论该病例的临床特征及多学科协作诊疗经过,旨在为恶性胰岛素瘤患者的临床综合诊治提供经验。

     

    Abstract: Malignant insulinoma is a kind of rare and challenging neuroendocrine tumor. It is often accompanied by distant metastasis, among which liver metastasis is most common, and the prognosis is often non-promising. In this paper, we report a case of multiple liver metastases from malignant insulinoma. The patient, a 70-year-old male, was admitted to the hospital due to "episodic consciousness disorder for more than four months." Blood glucose monitoring revealed recurrent hypoglycemia in the early morning, after meals, and at night. Pancreatic perfusion CT and dynamic enhanced MRI of the liver revealed a mass in the uncinate process of the pancreatic head and multiple liver metastases. Percutaneous liver biopsy confirmed the diagnosis of insulinoma. After multidisciplinary discussions, hepatic artery embolization and radiofrequency ablation were performed in stages, in combination with everolimus treatment. Thereafter, the enhanced CT demonstrated that some liver metastases shrank. The patient had regular meals, and the blood sugar gradually increased and remained normal thereafter. This article discusses this case's clinical characteristics and multidisciplinary collaborative diagnosis and treatment, aiming to provide experience for the comprehensive clinical diagnosis and treatment of malignant insulinoma patients.

     

/

返回文章
返回