胸腺原发上皮肌上皮癌首例报告并文献复习

Primary Epithelial-myoepithelial Carcinoma of Thymus: First Case Report of the World and Literature Review

  • 摘要:
      目的  探讨上皮肌上皮癌的临床症状、影像学特征、病理组织学特征和治疗方法。
      方法  回顾性分析北京协和医院肿瘤内科收治的1例胸腺原发上皮肌上皮癌患者临床资料,并进行文献复习。
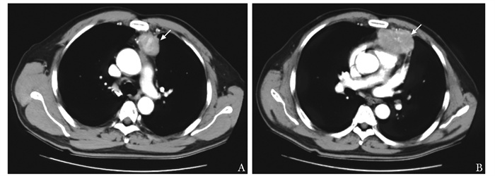
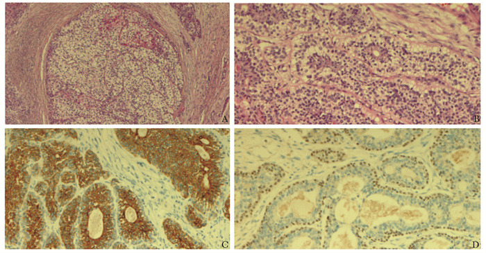
      结果  患者为中年男性,是目前国内外报道的首例被诊断为胸腺原发上皮肌上皮癌的患者。该患者经手术、化疗、放疗、分子靶向治疗等综合治疗后仍出现疾病进展,从手术确诊至死亡时间为22个月。
      结论  胸腺原发上皮肌上皮癌极为罕见,临床表现不典型,诊断主要依靠病理组织学检查,目前首选手术治疗,多学科综合治疗有助于延长患者的生存期。

     

    Abstract:
      Objective  To analyze the clinical, imaging and pathological features of patients with epithelial-myoepithelial carcinoma(EMC).
      Methods  The data of a patient with primary EMC of the thymus in Peking Union Medical College Hospital was retrospectively analyzed, and the relevant literature was reviewed.
      Results  The patient was a middle-aged male diagnosed with primary EMC of the thymus, and he was the first case currently reported at home and abroad. Even though the patient received comprehensive treatments including surgery, chemotherapy, radiotherapy and molecular targeted therapy, he still experienced disease progression, with a survival time of 22 months after surgery.
      Conclusions  Primary EMC of the thymus is extremely rare and has atypical clinical manifestations. The diagnosis mainly depends on histopathological examination. Surgery is currently the major treatment and multidisciplinary treatment is very important to prolong the survival time of EMC patients.

     

/

返回文章
返回