月经紊乱, 下肢浮肿, 急性肾损伤——罕见盆腔占位的"瘤栓事件"

Menstrual Disturbance, Edema of the Lower Limb and Acute Kidney Injury: A Rare Event of "Tumor Embolism" in Malignant Pelvic Tumor

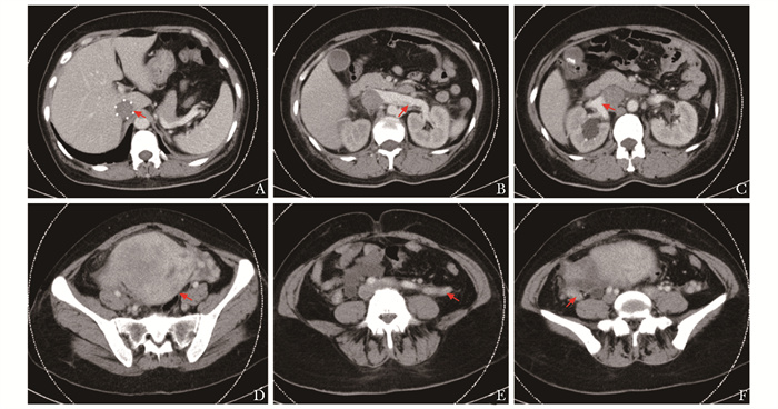
  • 摘要: 低级别子宫内膜间质肉瘤(low-grade endometrial stromal sarcoma, LG-ESS)是一种罕见的子宫恶性肿瘤, 在所有子宫恶性肿瘤中占比不足1%, 目前国内外尚无关于LG-ESS导致急性完全性下腔静脉阻塞的报道。2020年11月, 北京协和医院血管外科接诊1例LG-ESS患者, 临床表现为月经紊乱、右下肢凹陷性水肿、突发恶心、少尿、肌酐升高, 影像学提示下腔静脉完全性阻塞, 通过多学科协作共同决策, 采用分期手术联合内分泌治疗成功救治该患者, 其诊疗过程体现了多学科协作在疑难重症患者诊治中的重要作用。

     

    Abstract: Low-grade endometrial stromal sarcoma (LG-ESS) is a rare uterine malignancy, accounting for less than 1% of all uterine malignancies. And there is no literature reporting about acute obstruction of inferior vena cava (IVC) caused by LG-ESS. In November 2021, A patient diagnosed with LG-ESS was admitted to our hospital, presenting with pitting edema of the right lower limb, menstrual disturbance, nausea, oliguria andincreased serum creatinine. Imaging suggested complete obstruction of IVC cava. This difficult case was successfully treated with staging surgery combined with endocrine therapy by a cooperative multidisciplinary team (MDT). The important role of MDT in the treatment process of such a difficult and serious case was demonstrated.

     

/

返回文章
返回