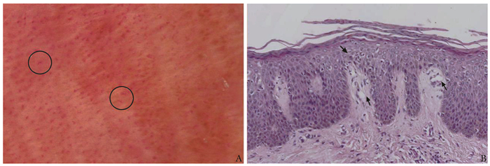
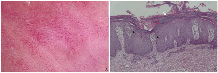
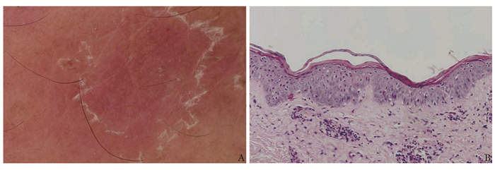
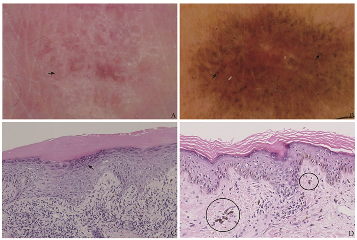
• 摘要: 皮肤镜作为一项无创且快速的辅助诊断技术,目前已广泛应用于红斑鳞屑性皮肤病的诊疗中,显著提高了临床工作效率及诊疗准确率。大多数皮肤病的皮肤镜特征与组织病理学特征存在关联,研究其关联性有助于加深对皮肤镜征象的理解。本共识基于国内外最新研究成果,对常见红斑鳞屑性皮肤病的皮肤镜与组织病理学特征相关性进行描述,以期提高皮肤科医师对此类疾病皮肤镜特征的认识。

     

    Abstract: As a non-invasive and rapid diagnostic tool, dermoscopy has been widely applied to erythematosquamous skin diseases, and has significantly improved the efficiency of clinical work and diagnostic accuracy. Most dermoscopic features of erythematosquamous skin diseases are associated with histopathological changes. Here a consensus was reached on the correlation between the dermoscopic features and the histopathological features of common erythematosquamous skin diseases, in order to improve the understanding of dermatologists on the dermoscopic features of erythematosquamous skin diseases.

     

/

返回文章
返回