左生殖静脉-下腔静脉转流术治疗胡桃夹综合征合并精索静脉曲张一例

Nutcracker Syndrome with Varicocele Treated with Left Gonadal Vein-inferior Vena Cava Transposition and High Ligation of Spermatic Vein: A Case Report

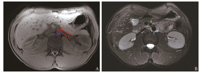
  • 摘要: 胡桃夹综合征是一种罕见疾病,可导致患者出现蛋白尿、肾功能受损及生殖静脉曲张等系列症状。传统开放手术方式首选左肾静脉转位术,但手术创伤较大,术后近、远期并发症较多,影响患者生活质量。本文报道1例胡桃夹综合征合并左精索静脉曲张的男性青年患者,采用左生殖静脉-下腔静脉转流术并左精索静脉高位结扎术的手术方式,取得了良好治疗效果。该手术方式为胡桃夹综合征合并精索静脉曲张患者提供了新的治疗思路,值得临床借鉴。

     

    Abstract: Nutcracker syndrome (NCS) is a rare disease that may cause proteinuria, renal dysfunction and varicose of genital veins. Traditional open surgery prefers left renal vein transposition, but this surgical method is more traumatic and patients often have more postoperative short-term and long-term complications affecting the quality of life. This article reports a case of a young male patient with NCS complicated with left varicocele. He was treated with left gonadal vein-inferior vena cava transposition and high ligation of spermatic vein, which achieved good results after surgery. This surgical method provides a new treatment idea for patients with NCS and varicocele, which is worthy of clinical reference.

     

/

返回文章
返回