西藏地区藏族人群睾丸和附件病变疾病谱分析

Analysis of Disease Spectrum of Testicular and Adnexal Lesions in Tibetan Population of Tibet

  • 摘要:
      目的  对西藏地区藏族人群睾丸和附件病变的疾病谱进行归纳、总结。
      方法  回顾性收集2012年1月至2021年3月西藏自治区人民医院病理科有病理存档记录的所有睾丸和附件病变患者的临床资料,包括年龄、临床症状、病变组织大体表现、病理诊断结果等。
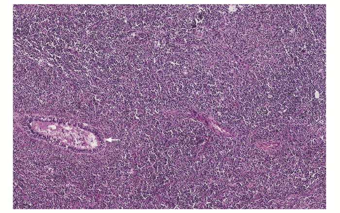
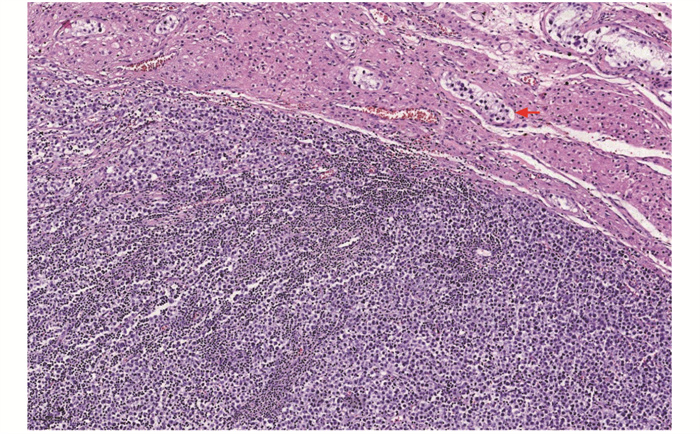
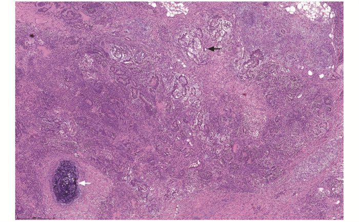
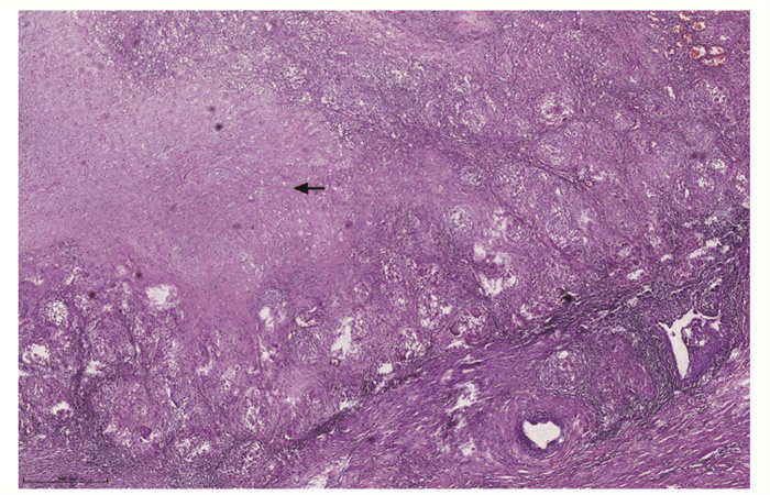
      结果  共纳入睾丸和附件病变患者317例,平均年龄(38.72±19.74)岁,临床症状以阴囊区肿大、疼痛为主(88.01%, 279/317),肿瘤性疾病85例(26.81%,85/317)、非肿瘤性疾病232例(73.19%,232/317)。病变组织大体表现:肿瘤性疾病的病灶直径2~17 cm,呈结节或分叶状,切面为实性或囊实性,部分区域可见出血或坏死;非肿瘤性疾病的病灶直径0.6~8 cm,多呈囊性,囊壁较光滑,部分呈实性结节状。85例肿瘤性疾病患者中,平均年龄(38.09±14.52)岁,恶性肿瘤占比96.47%,肿瘤类型依次为生殖细胞肿瘤(88.24%,75/85)、淋巴造血系统肿瘤(4.71%,4/85)、间叶肿瘤(4.71%, 4/85)、间质细胞瘤(1.18%,1/85)、附睾乳头状囊腺瘤(1.18%,1/85),其中生殖细胞肿瘤中,主要为精原细胞瘤(66.67%,50/75),其次为混合性生殖细胞肿瘤(14.67%,11/75)、胚胎性癌(12.00%,9/75)。4例淋巴造血系统肿瘤均为弥漫性大B细胞淋巴瘤。232例非肿瘤性疾病患者中,平均年龄(38.94±21.36)岁,以鞘膜积液最为常见(56.03%,130/232),其次为炎症性疾病(31.03%,72/232)、睾丸发育异常(8.62%,20/232),睾丸扭转/梗死(3.88%,9/232)和睾丸附件囊肿(0.43%,1/232)较少见。睾丸与附睾结核(77.78%,56/72)是炎症性疾病的最主要类型。
      结论  本研究数据一定程度上反映了西藏地区藏族人群睾丸和附件病变疾病谱:多见于中年人群,疾病谱复杂多样,以非肿瘤性疾病为主; 鞘膜积液和结核病是最多见的非肿瘤性睾丸和附件疾病; 肿瘤性疾病约占睾丸和附件病变的1/4,其中以生殖细胞肿瘤为最常见类型。

     

    Abstract:
      Objective  To summarize and analyze the disease spectrum of testicular and adnexal lesions in Tibetan patients in Tibet Autonomous Region.
      Methods  The relevant data of all Tibetan patients with testicular and adnexal lesions diagnosed by pathology in Tibet Autonomous Region People's Hospital from January 2012 to March 2021 were collected retrospectively, including age, clinical manifestations, general manifestations of diseased tissues, and diagnostic results.
      Results  There were 317 cases of testicular and adnexal lesions diagnosed by pathology, with the mean age of (38.72±19.74) years and the clinical manifestations mainly characterized by swelling and pain in the scrotum area (88.01%, 279/317). There were 85 cases of neoplastic diseases (26.81%, 85/317), in which malignant tumors accounted for 96.47%, with an average age of (38.09±14.52) years. There were 232 cases of non-neoplastic diseases (73.19%, 232/317), with an average age of (38.94±21.36) years. The gross manifestations of the lesions were as follows: the lesions of the neoplastic disease were 2-17 cm in diameter and were nodular or lobulated, the sections were solid or cystic-solid, and bleeding or necrosis could be seen in some areas; the lesions of non-neoplastic diseases were 0.6-8 cm in diameter and were mostly cystic with smooth cystic wall, and some lesions were solid nodules. Among neoplastic diseases, the tumor types were germ cell tumors (88.24%, 75/85), lymphohematopoietic tumors (4.71%, 4/85), mesenchymal tumors (4.71%, 4/85), leyding cell tumor(1.18%, 1/85), and papillary cystadenoma of the epididymis (1.18%, 1/85). Among germ cell tumors, seminoma were mainly type (66.67%, 50/75), followed by mixed germ cell tumor (14.67%, 11/75), embryonal carcinoma (12.00%, 9/75). All 4 cases of lymphohematopoietic tumor were diffuse large B-cell lymphoma. Among non-neoplastic diseases, hydrocele accounted for 56.03% (130/232), followed by inflammatory diseases (31.03%, 72/232) and testicular dysplasia (8.62%, 20/232), testicular torsion/infarction (3.88%, 9/232) and testicular adnexal cyst (0.43%, 1/232) accounted for a lower proportion. Testicular and epididymal tuberculosis (77.78%, 56/72) was the main type of inflammatory diseases.
      Conclusions  Testicular and adnexal lesions in Tibetan people maybe more common among middle-aged people, with a complex and diverse disease spectrum, dominated by non-neoplastic disease. Hydrocele and tuberculosis are the most common non-neoplastic diseases. About 1/4 of the lesions are neoplastic diseases, and germ cell tumors are the dominant type.

     

/

返回文章
返回