发作性意识模糊,心悸10年余

Repeatedly Confusion of Consciousness and Palpitation for Ten Years

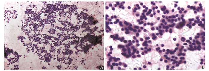
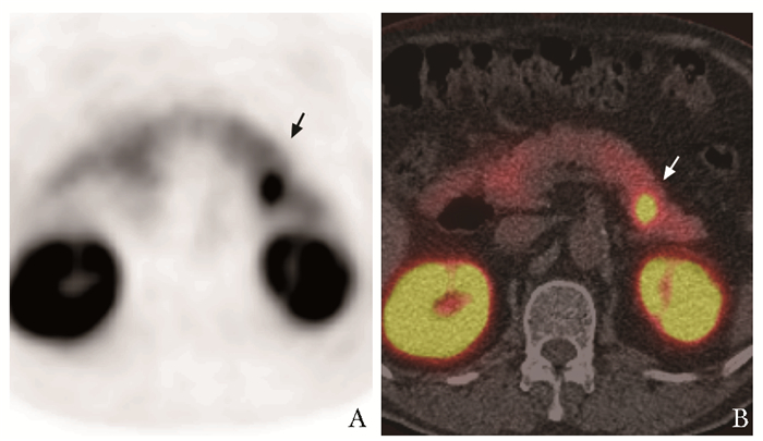
  • 摘要: 一例老年男性患者因胰尾部胰岛素瘤反复发作导致低血糖,频繁发作意识障碍,因传统影像学的局限性难以具体定位肿瘤位置,且患者高龄伴慢性肾脏病,外科手术治疗风险较高。经多学科团队讨论后,采用前沿的影像学检查方法和新兴的内镜治疗技术,最终解决了患者的诊治难题。在该例患者诊治过程中,多学科团队应用本领域最新技术共同诊治,体现了多学科协作的重要性。

     

    Abstract: This patient had recurrent hypoglycemia and frequent disturbance of consciousness caused by the insulinoma, but the definite location of the tumor could not be determined due to the limitations of conventional imaging, and he was unable to undergo surgical treatment because of his advanced age and chronic kidney disease. After multidisciplinary discussion, we applied cutting-edge imaging examination and emerging endoscopic treatment techniques, and finally solved the problem of diagnosis and treatment of the patient. This process reflects the importance of multidisciplinary cooperation: various disciplines explore the latest technologies and progress in the fields, and jointly assist in the management of complex diseases.

     

/

返回文章
返回