揭开多年反复多发骨肿痛与痤疮样皮疹的“神秘面纱”

Unveiling the Mystery of Long-term Repeated Multifocal-bone Swelling and Pain with Acne-like Rash

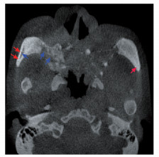
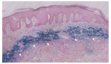
  • 摘要: SAPHO综合征是一类以骨关节和皮肤病变为特点的罕见临床综合征,即出现滑膜炎(synovitis)、痤疮(acne)、脓疱病(pustulosis)、骨肥厚(hyperostosis)和骨炎(osteitis)等一系列病变。本文报道一例具有31年病史的非典型SAPHO综合征患者,经详细的诊断及鉴别诊断以及合理的诊疗方案的实施,最终患者病情获得明显改善。通过回顾并总结SAPHO综合征的临床诊疗特点,以及对该病例的讨论分析过程,充分体现了多学科诊疗在罕见病诊治中的有效性及必要性。

     

    Abstract: The SAPHO syndrome is a rare disease characterized by osteoarticular and dermatological manifestations. Here we reported an atypical case of SAPHO syndrome for 31 years. A multidisciplinary team made the diagnosis and differential diagnosis of the patient's osteoarticular and dermatological lesions. Subse-quently, suitable treatment was initiated and the patient's condition was significantly improved. At last, we reviewed and sum- marized the characteristics of diagnosis and treatment of SAPHO syndrome. The effectiveness and necessity of multidisciplinary treatment were demonstrated by the discussion and analysis of this rare disease.

     

/

返回文章
返回