影像学在克罗恩病并发肠腔狭窄诊断及随访中的价值

Value of Imaging in Diagnosis and Follow-up of Crohn's Disease Complicated with Intestinal Stricture

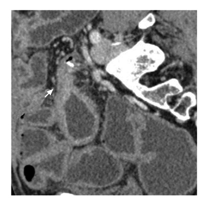
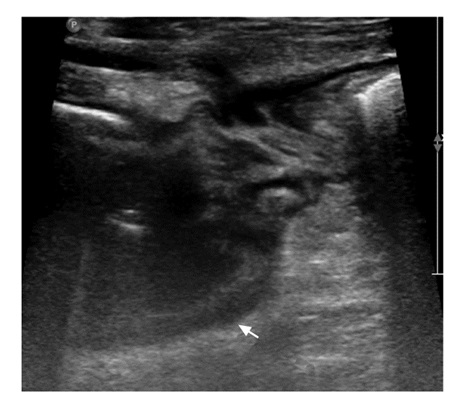
  • 摘要: 肠腔狭窄是常见的克罗恩病(Crohn's disease,CD)并发症,15%的CD患者在首诊10年内可发展为肠腔狭窄。CD并发肠腔狭窄根据病理类型可分为炎症型、纤维型及混合型,炎症型为主的患者可通过药物治疗缓解症状,而纤维型为主的患者则只能通过介入或手术治疗,故采用影像学手段全面评估狭窄肠段的数目、部位、形态,并区分肠壁炎症和纤维化程度,对于临床决策十分重要。近年来,多项影像学新技术在鉴别狭窄肠壁炎症及纤维化方面取得了较大进展,有望在临床推广应用,进一步提高CD并发肠腔狭窄的诊疗。本文综述主要影像学手段包括内镜、CT、MRI、经腹超声等对肠腔狭窄的诊断价值,以期为临床提供参考。

     

    Abstract: Intestinal stricture is one of the most common complications of Crohn's disease(CD). About 15% of CD patients can develop intestinal stricture within the first 10 years after diagnosis. CD complicated with intestinal stricture can be divided into inflammatory, fibrous and mixed types according to pathological changes. Patients with the inflammatory type can alleviate symptoms by drug treatment. In patients with the fibrous type, the affected intestinal segments can only be treated by interventional or surgical treatment. Therefore, it is very important for clinical decision-making to comprehensively evaluate the number, location and shape of narrow intestinal segments, and to distinguish the degree of inflammation and fibrosis of the intestinal wall. This article reviews the sensitivity and specificity of the main imaging methods including endoscopy, CT, MRI, and trans-abdominal ultrasound in the diagnosis of intestinal stricture. In recent years, many new imaging techniques have made great progress in differentiating inflammation and fibrosis of the narrow intestinal wall, which is expected to be widely used in clinical practice and to further improve the diagnosis and treatment of CD complicated with intestinal stricture.

     

/

返回文章
返回