青年男性亚急性小脑性共济失调的罕见病因

A Rare Cause of Subacute Cerebellar Ataxia in a Young Man

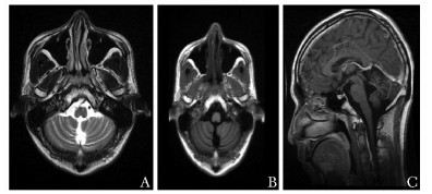
  • 摘要: 亚急性小脑性共济失调多见于非典型感染、自身免疫性疾病和副肿瘤性小脑变性。本文报道1例表现为亚急性小脑性共济失调患者,其病因罕见。该患者男性,31岁,亚急性起病,临床表现为小脑性共济失调,严重免疫抑制状态,经筛查发现人类免疫缺陷病毒(human immunodeficiency virus, HIV)抗体及核酸均阳性、脑脊液JC病毒DNA阳性,临床诊断为JC病毒小脑颗粒细胞神经元病,经抗逆转录病毒治疗后共济失调症状好转, 3个月后随访症状稳定。JC病毒小脑颗粒细胞神经元病是一种JC病毒感染引起的新型临床症候,目前报道较少,本例为国内首次报道。本病例提示HIV感染免疫抑制患者出现共济失调时需筛查JC病毒,免疫功能的恢复有助于控制JC病毒小脑颗粒细胞神经元病症状进展。

     

    Abstract: The most common etiologies of subacute cerebellar ataxia include atypical infections, autoimmune disorders, and paraneoplastic cerebellar degeneration. We reported a rare etiology of subacute cerebellar ataxia in a young man. A 31-year-old man was admitted to our hospital for subacute progressive cerebellar ataxia. He was detected HIV positive, and DNA of JC virus positive in his cerebrospinal fluid. He was diagnosed with JC virus cerebellar granule cell neuronopathy, and symptoms got improved after anti-retroviral therapy. At the 3-month follow up, his condition was stable. Cerebellar granule cell neuronopathy is a novel syndrome caused by JC virus infection. Our case indicated that JC virus infection should be considered when an immune-compromised patient with positive HIV develops cerebellar ataxia. Restoring immune function helps to control the progress of JC virus cerebellar granule neuronopathy. We summarized the diagnostic approach and treatment of subacute cerebellar ataxia through retrospectively reviewing the clinical data of the young man.

     

/

返回文章
返回