未愈合特发性黄斑裂孔的新型手术方式:游离内界膜移植

Free Internal Limiting Membrane Flap Transplantation for Unclosed Idiopathic Macular Holes

  • 摘要:
      目的  初步观察游离内界膜移植用于治疗未愈合特发性黄斑裂孔的疗效。
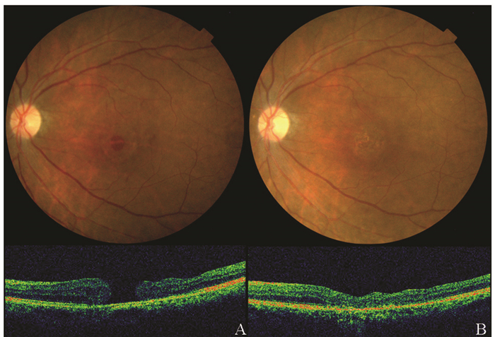
      方法  对3例经标准的玻璃体切除术联合内界膜剥除治疗后黄斑裂孔未愈合的特发性黄斑裂孔患者, 采用游离内界膜移植的方法进行治疗, 通过眼底检查和光学相干断层扫描观察术后黄斑裂孔愈合情况。
      结果  3例患者黄斑裂孔均能够完全愈合, 术后随访10个月至1年期间, 患者情况稳定。手术无并发症出现。
      结论  游离内界膜移植是治疗初次手术后特发性黄斑裂孔未愈合的有效方法。目前仍需要长期、大规模的研究以评价这种手术方式的安全性和有效性。

     

    Abstract:
      Objective  To observe the effectiveness of free internal limiting membrane flap transplantation for unclosed idiopathic macular holes.
      Methods  Three consecutive cases of idiopathic macular hole were included in the study. All the three eyes had undergone vitrectomy and internal limiting membrane peeling previously but the macular holes were not closed. Free internal limiting membrane flap transplantation was performed for all three cases. Fundus examination and optical coherence tomography were used to observe whether the macular holes were closed after the operation.
      Results  Macular holes were closed in all three cases, and the situation was stable during the follow-up period of 10 months to 1 year. No complication was recorded.
      Conclusions  The described free internal limiting membrane flap transplantation technique is helpful in treating unclosed idiopathic macular holes after initial surgery. Long-term studies in larger sample are needed to further evaluate the efficacy and safety of this technique.

     

/

返回文章
返回