剖宫产切口瘢痕妊娠超声参数与手术中出血量的相关性

Correlation between the Ultrasound Parameters of Uterine Scar after Cesarean Section and the Amount of Intraoperative Blood Loss in Patients with Cesarean Scar Pregnancy

  • 摘要:
      目的  探讨剖宫产切口瘢痕妊娠二维、三维超声参数与手术中出血量的相关性, 分析影响手术出血量的独立危险因素。
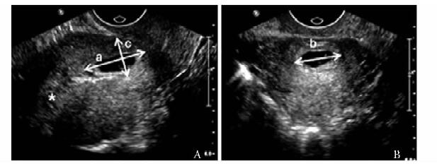
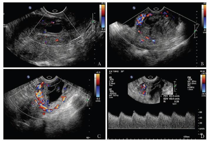
      方法  收集2011年11月至2013年1月北京协和医院临床确诊为剖宫产切口瘢痕妊娠、并接受手术治疗的35例患者, 术前进行二维及三维超声检查, 获得病灶最大径、病灶平均径、病灶植入瘢痕面积、植入体积及植入深度; 按有无胎心搏动、病灶类型、彩色多普勒血流分级及术前有/无甲氨蝶呤联合治疗进行分组。记录患者手术中出血量, 分析超声参数与出血量的相关性, 比较组间出血量差异; 将病灶按出血量进行分组, ≥ 200 ml组和 < 200 ml组, 应用Logistic回归分析影响出血量的独立危险因素。
      结果  病灶最大径和病灶植入瘢痕面积与出血量存在线性关系(P=0.009和0.008)。病灶平均径、病灶植入体积、病灶植入深度与出血量无线性关系(P=0.017, 0.044和0.423)。有/无胎心搏动组间出血量(分别为23.38和13.47 ml)差异有统计学意义(P=0.004);病灶类型、彩色多普勒血流分级及术前有/无甲氨蝶呤联合治疗组间出血量差异无统计学意义(P=0.131, 0.044和0.047)。Logistic回归分析显示病灶植入瘢痕面积为影响手术中出血量的独立危险因素(P=0.007), 受试者工作特征曲线下面积为0.839(0.606~1.071)。
      结论  剖宫产切口瘢痕妊娠病灶最大径、病灶植入瘢痕面积及有/无胎心搏动与手术中出血量密切相关, 其中病灶植入瘢痕面积是影响剖宫产切口瘢痕妊娠手术中出血量的独立危险因素, 本研究结果可为临床决策(包括是否手术及术式选择)提供重要参考依据。

     

    Abstract:
      Objective  To analyze the correlation between ultrasound parameters of uterine scar after cesarean section and the amount of intraoperative blood loss in patients with cesarean scar pregnancy(CSP).
      Methods  A total of 35 CSP patients who received operational treatment from November 2011 to January 2013 were enrolled in this study. The 2-and 3-dimensional ultrasound examinations were performed before the surgery, and the following parameters were recorded:maximum diameter of lesion(Dmax), average diameter of lesion(Dmean), implantation area of lesion(S), implantation volume of lesion(V), and implantation depth of lesion(Dimp). All these cases were divided into different groups according to the following characteristics separately:with/without fetal heart beat, lesion shown as gestational sac/mass, vasculature grade poor/median/rich, whetheror not combined with methotrexate(MTX) treatment prior to operations. The amount of bleeding during the operation was recorded. The correlation between the above parameters and the amount of intraoperative bleeding was analyzed. The bleeding amount of different groups was compared. Also, the patients were divided into two groups according to bleeding amount ≥ 200 ml and < 200 ml, and the potential independent risk factors of bleeding were analyzed using Logistic regression.
      Results  Dmax and S had a linear correlation with bleeding amount (P=0.009 and 0.008). Dmean, V, and Dimp had no linear correlation with bleeding amount(P=0.017, 0.044, and 0.423, respectively). The difference of bleeding amount between groups with and without fetal heart beat was significant(23.38 ml vs 13.47 ml, P=0.004). There were no significant differences between groups of lesion types, color grades, and with/without MTX treatment(P=0.131, 0.044, and 0.047, respectively). The Logistic regression showed that S was an independent risk factor of operation bleeding amount(P=0.007), with an area under the receiver operating characteristic(ROC) curve of 0.839(0.606-1.071).
      Conclusions  The Dmax and S of CSP as well as with/without fetal heart beat obtained from the 2-and 3-dimensional ultrasound have close correlations with the intraoperative bleeding amount in CSP patients. In particular, the S of the CSP is an independent risk factor for bleeding.

     

/

返回文章
返回