一例含葡萄糖-6-磷酸酶新突变的复合杂合突变致华人糖原累积症Ia型的遗传特点

A Novel Compound Heterozygous Mutation in Glucose-6-Phosphatase Gene in a Chinese Patient with Glycogen Storage Disease Ia

  • 摘要:
      目的  探讨1例糖原累积症Ia型(glycogen storage disease type Ia, GSD Ia)患者的临床特点及遗传机制。
      方法  详细收集患者临床资料, 包括病史、体格检查、实验室检查结果。提取患者及其父母的外周血DNA, 进行葡萄糖-6-磷酸酶催化亚基(glucose-6-phosphatase catalytic subunit, G6PC)基因5个外显子测序, 对新突变进行蛋白功能预测。
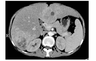
      结果  患者为27岁男性, 有低血糖、高乳酸血症、高尿酸血症和高脂血症的典型临床表现, 肝穿刺活检支持GSD Ia。患者G6PC基因第2个外显子检测到c.248G > A(p.R83H)错义突变, 第5个外显子检测到c.674T > C(p.L225P)错义突变, 患者父亲和母亲分别是携带c.674T > C(p.L225P)及c.248G > A(p.R83H)突变的杂合子。采用Polyphen 2和SIFT软件对新发现的c.674T > C(p.L225P)突变蛋白功能进行预测, 提示为致病突变, 可能损害葡萄糖-6-磷酸酶蛋白功能。
      结论  G6PC基因的复合杂合突变是本例GSD Ia患者的致病基础, 发现G6PC基因新的致病突变, 拓宽了华人GSD Ia的致病基因谱。

     

    Abstract:
      Objective  To analyze the clinical features and genetic mechanism of a Chinese glycogen storage disease type Ia (GSD Ia) patient.
      Methods  Clinical features of the patient including medical history, physical examination and laboratory results were collected in detail. DNA was extracted from peripheral blood of the patient and his parents. Mutation analysis was performed for the five exons of glucose-6-phosphatase catalytic subunit (G6PC) gene using DNA sequencing, prediction of protein function was conducted for novel mutation.
      Results  The patient was a 27-year-old male Chinese GSD with typical symptoms of hypoglycemia, hyperlactaci-demia, hyperuricemia and hyperlipidemia, and the diagnosis of GSD Ia was confirmed by liver biopsy. Missense mutations of c.248G > A (p.R83H) in the second exon and c.674T > C (p.L225P) in the fifth exon were detected in G6PC gene in this patient, which were separately carried in his mother and father, respectively. The pathogenicity of novel mutation c.674T > C(p.L225P) was supported by Polyphen2 and SIFT software analysis, which showed that the mutation might damage the function of glucose-6-phosphatase protein.
      Conclusions  The compound heterozygous mutation in G6PC gene causes GSD Ia in this patient. Our findings of the novel pathogenic mutation of G6PC gene expands the spectrum of G6PC gene mutations in Chinese.

     

/

返回文章
返回