关节肿痛,活动后气短、咯血
Arthritis, Dyspnea and Hemoptysis on Exertion
-
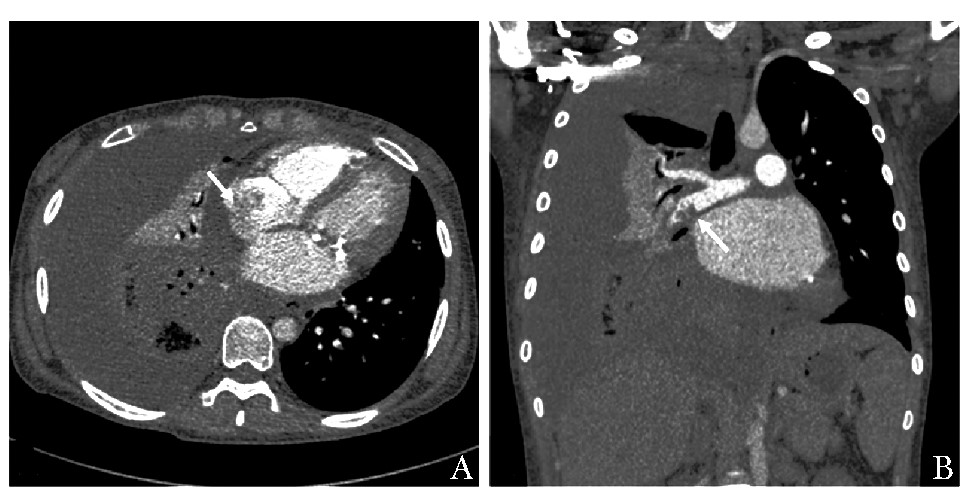
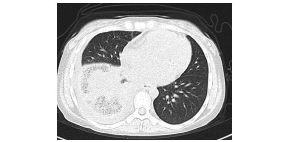
摘要: 心腔内血栓形成是系统性红斑狼疮(systemic lupus erythematosus,SLE)继发抗磷脂综合征(antiphospholipid syndrome,APS)的罕见并发症,治疗难度极大。本文报道1例SLE合并心内血栓、肺栓塞病例,病情复杂,猝死风险高,血栓和出血状态下的抗凝选择、感染状态下的原发病评估和治疗均较为棘手。经过多学科诊疗,在内科积极治疗的基础上,创造手术条件并选择恰当时机完成手术治疗,病情得到有效控制。Abstract: Intracardiac thrombus is a rare complication of Antiphospholipid syndrome secondary to systemic lupus erythematosus (SLE). Its treatment is extremely tough and requires a multidisciplinary approach. We reported a case of SLE with intracardiac thrombus and pulmonary embolism. The patient was complicated with hemoptysis and kidney injury, and had a high risk of sudden death from incidental thrombus shedding off. In the state of thrombosis and hemorrhage, the management of anticoagulation and the evaluation and treatment of the primary disease complicated with infection are challenging. The multidisciplinary collaboration helpedus to create a more favorable surgical condition while controlling SLE aggressively. After surgical treatment at the proper time, the outcome of the patient was satisfying.
邮件订阅
RSS
下载: