双胎之一葡萄胎16周成功引产阴道分娩一例

Successful Labor Induction and Vaginal Delivery of Twin Pregnancy with Hydatidiform Mole and a Coexistent Fetus at 16 Weeks of Gestation: A Case Report

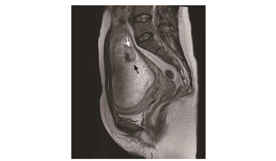
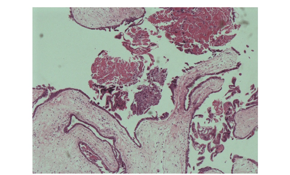
  • 摘要: 葡萄胎是一种良性妊娠滋养细胞疾病。双胎之一葡萄胎极为罕见,其诊断通常较晚,并常由于严重的阴道出血或其他并发症导致妊娠终止,但关于双胎之一葡萄胎终止妊娠方式的选择尚无明确指南。本文报道一例双胎之一葡萄胎16周引产阴道分娩病例,分析其诊断、处理原则及分娩方式选择。

     

    Abstract: Hydatidiform mole is a benign gestational trophoblastic disease. Twin pregnancy with hydatidi-form mole and a coexistent fetus is extremely rare. The diagnosis is usually delayed and the pregnancy is often terminated due to severe vaginal bleeding or other complications. There are few guidelines for termination methods. Here we report a case of successful labor induction and vaginal delivery of twin pregnancy with hydatidiform mole and a coexistent fetus at 16 weeks of gestation. The diagnosis, treatment principles, and termination methods are discussed.

     

/

返回文章
返回