Cronkhite-Canada综合征合并无症状新型冠状病毒感染一例

Cronkhite-Canada Syndrome Combined with Asymptomatic Novel Coronavirus Infection: A Case Report

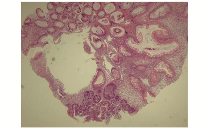
  • 摘要: 本文报道Cronkhite-Canada综合征合并无症状新型冠状病毒感染1例。该患者临床表现为食欲减退,毛发及指甲脱落,皮肤色素沉着。内镜检查见胃、十二指肠及结肠黏膜呈弥漫性、大小不一、密集分布的息肉样改变。病程中检出新型冠状病毒核酸阳性。经中等剂量泼尼松治疗后,患者毛发恢复生长,皮肤色素沉着减退。本文总结该患者的诊疗经过并结合文献复习,以期提升临床医生对该病的认知。

     

    Abstract: This article presents a case study of a patient who had Cronkhite-Canada syndrome in combination with an asymptomatic novel coronavirus infection. The patient exhibited clinical symptoms of loss of appetite, hair and nail loss, and skin pigmentation. Digestive endoscopy revealed widespread and varying-sized polypoid changes in the mucosa of the stomach, duodenum, and colon. During the course of the illness, the patient tested positive for novel coronavirus nucleic acid. Treatment with moderate doses of prednisone resulted in the patient's hair regrowth and decreased skin hypopigmentation. The article provides a summary of the patient's diagnosis and treatment and a review of relevant literature, with the aim of enhancing clinicians' understanding of the disease.

     

/

返回文章
返回