超小剂量利妥昔单抗治疗ANCA相关性血管炎一例

ANCA Associated Vasculitis Treated with Ultra-low Dose Rituximab: A Case Report

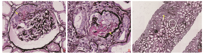
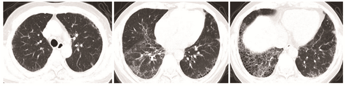
  • 摘要: 本文报道一例肺、肾受累的抗中性粒细胞胞浆抗体(antineutrophil cytoplasmic antibodies, ANCA)相关性血管炎患者, 给予经典的糖皮质激素、环磷酰胺、血浆置换诱导缓解治疗有效。该患者在使用硫唑嘌呤维持治疗期间共出现2次感染, 后换用超小剂量(100 mg/次)利妥昔单抗维持治疗病情稳定。个体化利妥昔单抗治疗ANCA相关性血管炎效果显著, 同时避免了过度免疫抑制, 减轻了患者的经济负担。本例患者的诊疗经验有助于提高临床医生在ANCA相关性血管炎维持治疗方面的认识。

     

    Abstract: We reported a case of ANCA-associated vasculitis with pulmonary and renal involvement that was effectively treated with glucocorticoids, cyclophosphamide, and plasma exchange therapy. The patient suffered two infections during maintenance treatment with azathioprine and was later switched to ultralow-dose (100 mg) rituximab to keep the disease in remission. Individualized rituximab therapy is effective in treating ANCA-associated vasculitis, while avoiding excessive immunosuppression, and reducing the financial burden. The diagnosis and treatment of this patient may help clinicians improve their understanding of maintenance therapy for ANCA-associated vasculitis.

     

/

返回文章
返回