颅-耳-颈联合入路在复杂侧颅底手术中的应用

A Combined Transcranial-Transtemporal-Transcervical Approach to Complex Lateral Skull Base Tumors

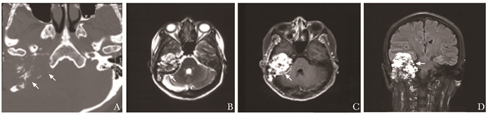
  • 摘要: 侧颅底解剖复杂,病种庞杂,手术入路多样,虽然现有的手术入路可以处理大部分病变,但若遇到病变跨区域生长的情况,即需采用联合入路进行处理。本文介绍一种适用于处理复杂侧颅底病变的颅-耳-颈联合入路。

     

    Abstract: Skull base anatomy is complicated. There are numerous diseases related to skull base, and surgical approaches to them are diverse. Although existing surgical approaches can manage most cases, a combined approach is required for transregional lesions. This article introduces a transcranial-transtemporal-transcervical approach to manage complex skull base tumors.

     

/

返回文章
返回