特发性Evans综合征复发后确诊为小B淋巴细胞淋巴瘤一例

A Case of Small B-cell Lymphocytic Lymphoma Diagnosed One Year after Evans Syndrome

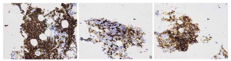
  • 摘要: Evans综合征是指同时或相继发生自身免疫性溶血性贫血和免疫性血小板减少症,依据病因可分为原发性和继发性两种,其中血液系统恶性肿瘤是较为常见的继发因素。现报道1例特发性Evans综合征病例,首次起病时排除了可能的继发因素,经利妥昔单克隆抗体联合硼替佐米治疗后病情改善,1年后再次发病并最终确诊为小B淋巴细胞淋巴瘤,提示对于复发或难治性Evans综合征,应仔细筛查相关继发因素。本文通过分析此患者疾病复发过程、实验室检查结果、诊治经过,以期为临床医师诊治该类疾病提供帮助。

     

    Abstract: Evans syndrome is defined by the simultaneous or sequential development of autoimmune hemolytic anemia and immune thrombocytopenia, which is classified as primary or secondary. Hematological malignancy can be a common secondary underlying disease. Here we report a case presenting as primary Evans syndrome after excluding all possible secondary disorders. Evans syndrome improved after treatment of rituximab combined with bortezomib. One year later, the symptoms relapsed and small B-cell lymphocytic lymphoma was eventually diagnosed. The recurrence of disease, laboratory examinations, diagnostic process, and treatment were analyzed and discussed not only to remind clinicians that secondary factors should be re-evaluated in recurrent or refractory Evans syndrome, but also to provide help for clinicians to diagnose and treat such diseases. It is often necessary to remove the secondary factors in secondary Evans syndrome so that the disease can be effectively controlled.

     

/

返回文章
返回